Сьогодні, 9 вересня, близько 18-ї години на одній із транспортних розв’язок Луцька сталась ДТП — зіткнулись два легковики
29 серпня в Україні вшановують пам’ять загиблих захисників
Трирічний Лука з Луцька, який потрапив у реанімацію після стоматологічного лікування зубів під наркозом, успішно виписаний з київської дитячої лікарні «Охматдит».
Під час процедури стоматологи пошкодили трахею хлопчика, що призвело до серйозних проблем із диханням, - повідомили 16 вересня на офіційній сторінці медзакладу у фейсбуці.
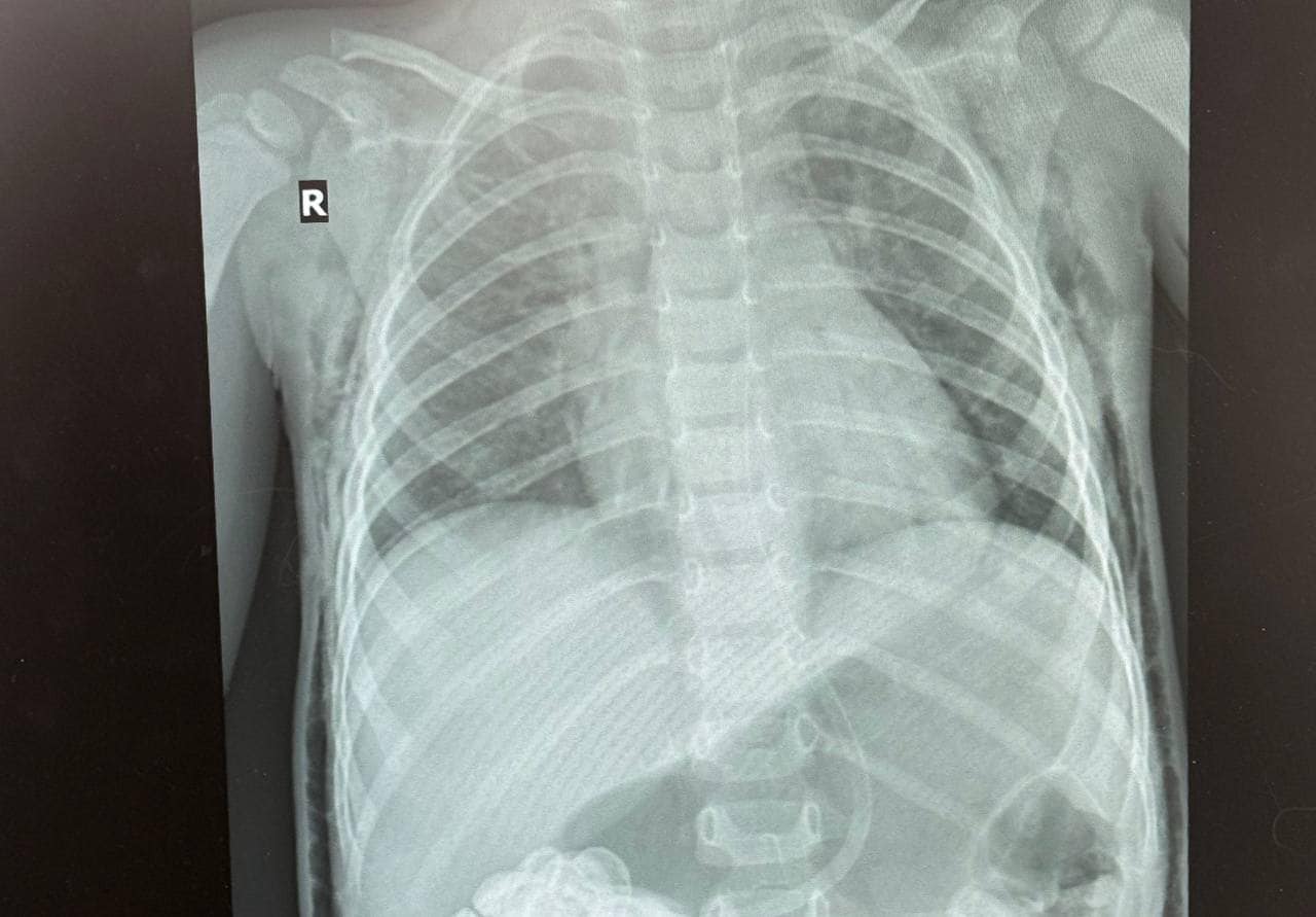
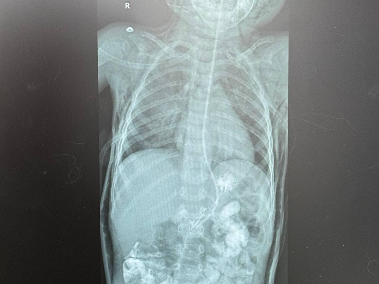
У рідному місті, де Луку під час стоматологічного лікування інтубували, мама хлопчика помітила, що у сина почало боліти горло, з'явилися набряки на шиї, голові та обличчі, а дихання стало утрудненим. Термінове звернення до місцевої лікарні виявило накопичення повітря в середостінні, під шкірою голови, шиї та грудної клітки, що свідчило про порушення цілісності дихальних шляхів.

Луку терміново доставили до «Охматдиту», де спеціалісти виявили розрив трахеї довжиною 2,5-3 см. Того ж дня була проведена операція, під час якої медики успішно зашили і відновили цілісність трахеї.
Через дві доби після хірургічного втручання хлопчик почав самостійно дихати, а на третій день був переведений з реанімації у відділення. Через 11 днів Лука був виписаний додому і зараз перебуває у задовільному стані.
Дитячий хірург Євген Руденко пояснює, що розрив трахеї є небезпечним через те, що повітря, яке виходить за межі дихальних шляхів, накопичується в середостінні під тиском. Це може призвести до стискання внутрішніх органів – серця і легень, що, в свою чергу, може викликати дихальну недостатність або навіть загрозу життю.




©2026 uaGit
Коментарі