Сьогодні, 9 вересня, близько 18-ї години на одній із транспортних розв’язок Луцька сталась ДТП — зіткнулись два легковики
29 серпня в Україні вшановують пам’ять загиблих захисників
Викладачка Центру позашкільної освіти Волинської обласної ради Галина Кремінь потребує фінансової допомоги на заміну суглобу.
Як пише ВСН, жінка за 31 рік роботи випустила з гуртка «Юний дизайнер» десятки майбутніх дизайнерів, художників та архітекторів, які зараз успішні у Києві, Львові, Луцьку та навіть за кордоном. А зараз самій пані Галині потрібна допомога, адже жінку спіткала біда.
Галина Кремінь розповідає про свою роботу з любов'ю та захватом, а про учнів - з гордістю:
«Багато моїх учнів стали чудовими дизайнерами, архітекторами, професійними художниками, були призерами всеукраїнських конкурсів і одержували нагороди. Ми, мабуть, першими, ще в 1995 році почали ліпити з паперової маси в техніці пап'є-маше. Коли моя учениця Сніжана Остапчук на конкурсі «Космічні фантазії» в Києві захищала гурткові роботи «Інопланетяни - гості з інших планет», - всі дивувалися, з чого це зробили? Легеньке і схоже на пластмасу. Учениця тоді розповідала: «всі дяді і тьоті записували наш рецепт, коли я виступала». А згодом ми самі придумали змішувати клейстер і туалетний папір з ПВА».
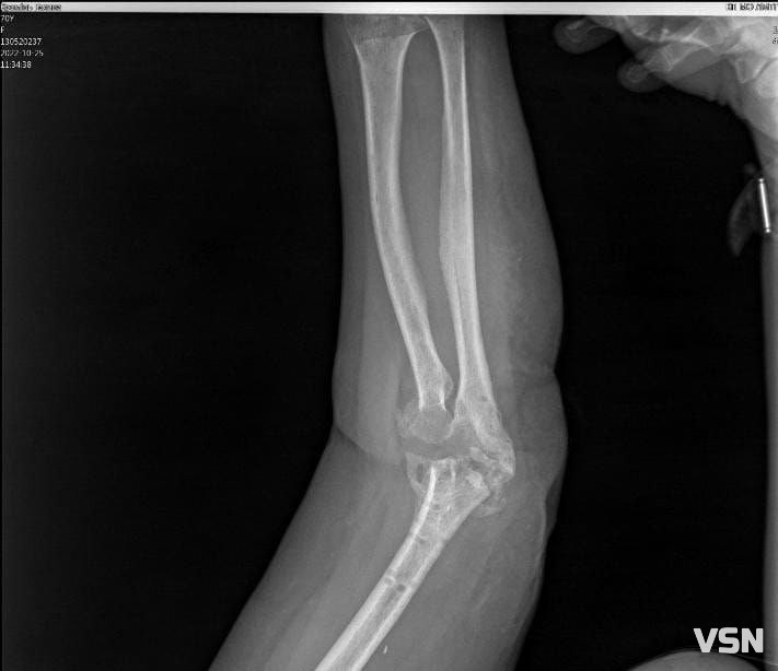
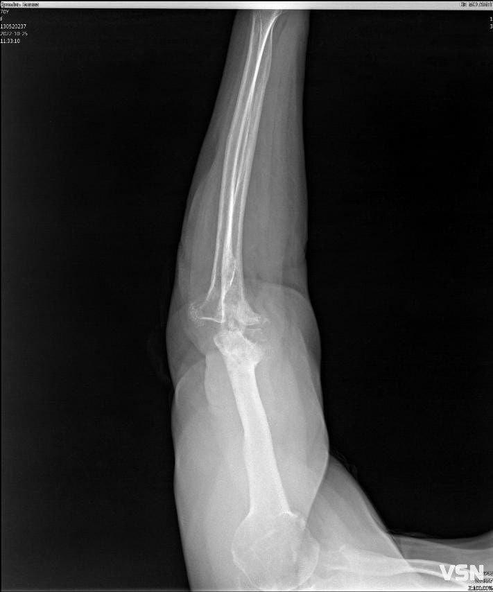
В травні минулого року, поспішаючи на роботу, Галина Кремінь впала та зламала руку, розтрощивши ліктьовий суглоб. Лікарі зробили операцію та вставили пластини, але приєдналась інфекція. Чекаючи зрощення, медики протягом чотирьох місяців рану чистили, обрізали, промивали. Проте, почався остеомієліт. Ще раз прооперували, повиймали пластини та весь метал, почистили кістки. Але суглоб встиг зіпсуватися, і тепер потребує заміни.
«Ціна суглоба - до 7 тисяч доларів, а для мене - це непосильна сума», - каже Галина Кремінь.
Хвороба надзвичайно ускладнила жінці життя, адже вже рік як рука на лангетці та займатися улюбленою справою - навчати дітей стало важче.
Допомогти можна за реквізитами: 5168 7450 1825 7698 Кремінь Галина Андріївна





Наступний допис
©2026 uaGit
Коментарі