Сьогодні, 9 вересня, близько 18-ї години на одній із транспортних розв’язок Луцька сталась ДТП — зіткнулись два легковики
29 серпня в Україні вшановують пам’ять загиблих захисників
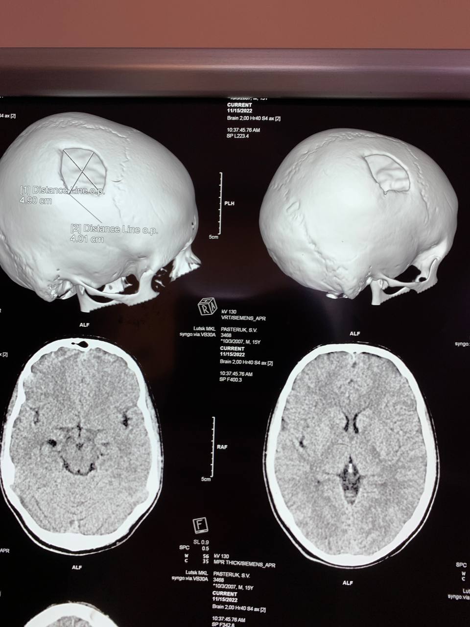
Рівненські лікарі встановили в череп 15-річному хлопцеві з Волині титанову пластину.
Про це повідомили на фейсбук-сторінці Рівненської обласної дитячої лікарні.
«15-річному хлопцю з Волинської області, який дев'ять місяців тому отримав складну черепно-мозкову травму, виконали краніопластику. Пошкоджену частину черепної коробки закрили спеціальною титановою пластиною, яка повторює кісткові структури черепа, захищає мозок від ушкоджень», - йдеться у дописі.
Оперативне втручання провели: лікар-нейрохірург дитячий Сергій Романчук та лікар-хірург дитячий Ігор Сегін.
За словами медиків, операція пройшла успішно, хлопець на третю добу був виписаний додому.



Попередній допис
Наступний допис
©2026 uaGit
Коментарі