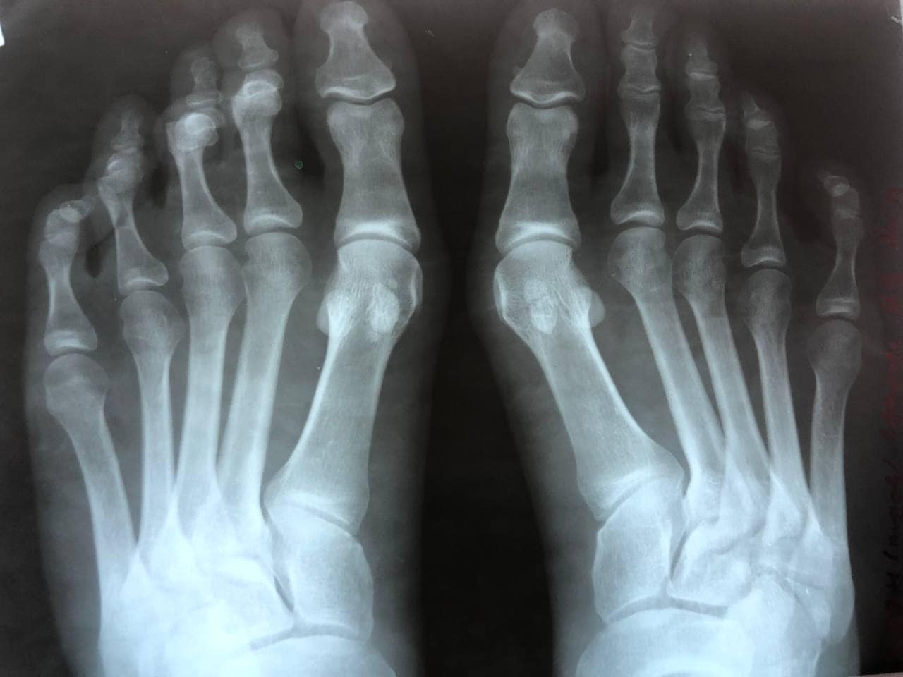
У неділю, 26 вересня, хворій під спинальною анестезією провели корегуючу операцію та реліз сухожилок першого пальця обох стоп.

24-річна пацієнтка КНП «НЦМЛ» відчувала дискомфорт при ходьбі за рахунок викривлення перших пальців обох стоп, повідомляють у фейсбуці установи.

Операція проведена успішно. Пацієнтці дали дозвіл вже з наступного дня навантажувати ногу.

В операційній працювали:

  • Лікар ортопед-травматолог Родзь Тарас Яремович
  • Сестра медична операційна Магдюк Людмила Анатоліївна
  • Лікар-анестезіолог Міщук Оксана Миколаївна
 Пам’ятайте, вчасне звернення за медичною допомогою - це запорука вашого здорового життя!, –йдеться в дописі

Лікарі нагадують, на даний момент, згідно наказу УОЗ, у КНП «НЦМЛ» не лікують пацієнтів з підозрою на коронавірусну інфекцію чи вже з підтвердженим діагнозом. Тому лікарня продовжує працювати на повну потужність.